Povlačenje desni kod odraslih i značaj pravovremene reakcije
Povlačenje desni je problem koji se razvija polako i gotovo neprimetno.
Dešava se da godinama ne primetimo šta se dešava sve dok jedan jutarnji pogled u ogledalo ne otkrije da je deo zuba duži nego ranije ili da se javlja neprijatna osetljivost na hladnu vodu.
Kada se to dogodi, jasno je da je proces već u toku.
Danas ćemo vam objasniti kako dolazi do povlačenja desni, koje navike utiču na napredovanje, kakve posledice nosi odlaganje tretmana i koji koraci mogu da uspore ili zaustave problem.
Zašto desni počinju da se povlače

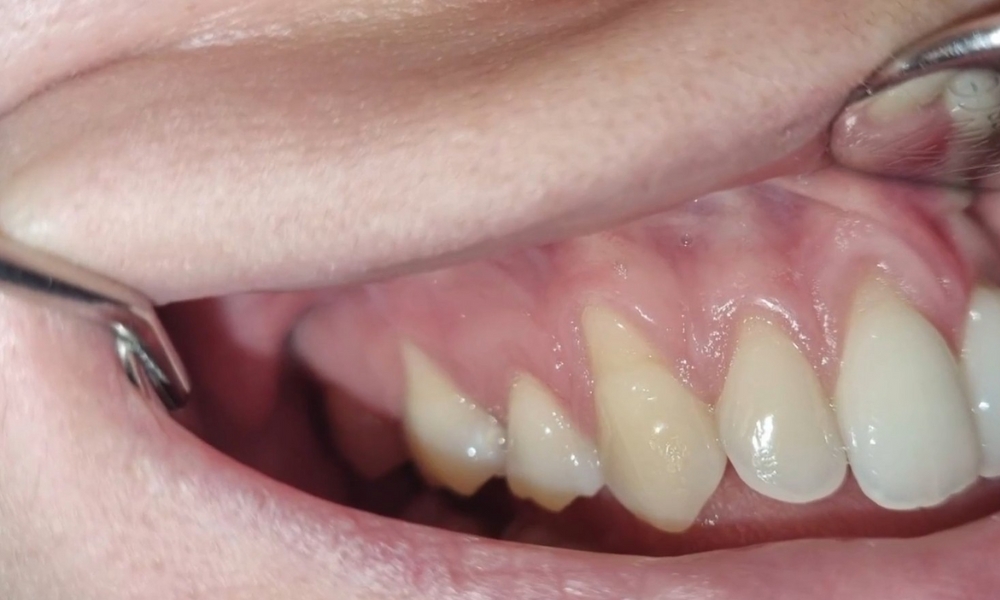
Povlačenje desni znači da se meko tkivo koje obavija zube postepeno spušta.
Korenski deo zuba postaje izložen i nežan, a vremenom raste rizik od karijesa na tom mestu, upale i nestabilnosti zuba.
Uzroci su različiti i često se kombinuju.
Hronična upala desni
@doctor4smile Stomatolog: Imate upalu zubnog mesa, vidi se i na rendgenu… Pacijentica: Heh, ma ništa to. Bitno da nemam karijesa! Jeli upala zubog mesa bezazlena? 🤔 #balkantiktok #balkan #oralnozdravlje #gingivitis #paradontoza #stomatolog #fyp ♬ original sound – Mike O’Hearn
Neprekidno prisustvo dentalnog plaka izaziva iritaciju.
Blaga crvenila i povremeno krvarenje mnogima izgledaju kao sitnica, ali to je jedan od najčešćih pokretača povlačenja.
Upala traje dugo i polako menja strukturu tkiva.
Prejako četkanje i pogrešna tehnika
Dešava se da ljudi prilikom pranja zuba primenjuju prevelik pritisak.
Tvrda četkica, brzo horizontalno četkanje i grube kretnje dovode do oštećenja površinskog sloja desni.
Kada se takva tehnika koristi godinama, povlačenje postaje sve izraženije.
Nepravilni zagriz i naglašeno opterećenje pojedinih zuba

Ako jedan deo vilice trpi jači pritisak, desni na tom mestu mogu reagovati povlačenjem.
Slično se dešava kod bruksizma, odnosno noćnog škrgutanja, gde se sile prenose na koren i okolna tkiva.
View this post on Instagram
Hormonske promene kod žena
Promene u nivou estrogena utiču na to kako desni reaguju na iritaciju.
U trudnoći, menopauzi ili tokom hormonske terapije tkiva postaju osetljivija i sklonija povlačenju.
Pušenje
Pušenje slabi cirkulaciju i smanjuje prirodnu sposobnost desni da se oporave.
Kod pušača se povlačenje često odvija tiho, bez izraženog krvarenja, pa se simptomi lakše zanemare.
Genetski faktori
Neki ljudi imaju tanje desni po prirodi. To ne znači da će se povlačenje nužno javiti, ali povećava rizik ako su prisutni i drugi faktori.
Znakovi koji ukazuju na problem

Jedan od najvećih problema kod povlačenja desni je to što simptomi u početku deluju bezopasno.
Zato je važno obratiti pažnju čak i na najsitnije promene.
- osetljivost na hladno, toplo ili kiselo
- pojava sitnih „džepića“ između zuba i desni
- povremeno krvarenje prilikom pranja
- osećaj da se tkivo pomera ili lagano povlači
- neprijatno zatezanje oko korena
Kako izgleda napredovanje povlačenja desni

Proces nije uvek linearan. Nekada se povlačenje zaustavi na duži period, a onda naglo napreduje zbog neke promene, kao što je stres, jače stezanje vilice ili pad imuniteta.
Postoje tri tipične faze:
1. Blaga faza
Desni su stabilne, ali se linija primetno pomerila nekoliko milimetara. Javlja se osetljivost i povremeno iritacija.
2. Srednja faza
Korenski deo je otvoren i jasno vidljiv. Zubi počinju da izgledaju duže. Hrana se lakše zadržava u prostoru oko desni.
3. Napredna faza
Pojavljuje se klimavost zuba, duboki parodontni džepovi i izražen rizik od gubitka zuba.
U svakoj fazi postoji način da se proces uspori, ali je važno delovati odmah.
Koji pregledi pomažu da se stanje proceni

Redovne kontrole kod stomatologa omogućavaju da se povlačenje uoči dok je još u ranoj fazi.
Mnogi pacijenti odlučuju da prvi pregled zakazuju u ordinacijama koje imaju iskustvo sa parodontološkim problemima, kao što je Stomatološka Ordinacija Dr Anđelković.
Najčešće dijagnostičke procedure uključuju:
| Pregled | Šta pokazuje |
| Klinički pregled | Položaj desni, prisustvo upale, vidljivost korena |
| Merenje parodontnih džepova | Dubinu prostora između zuba i desni |
| Rendgenski snimak | Gubitak kosti oko zuba |
| Procena tehnike četkanja | Uočavanje navika koje ubrzavaju povlačenje |
Ovakvi pregledi ne traju dugo, ali daju preciznu sliku i jasne smernice za dalju brigu.
Kako sprečiti dalje povlačenje
Iako desni ne mogu da se vrate na staru poziciju bez profesionalne terapije, mnogo toga se može učiniti kod kuće i u ordinaciji da bi se stanje stabilizovalo.
Promena tehnike četkanja
Jedan od najbržih načina da se napravi razlika jeste mekana četkica i lagani, kružni pokreti.
Umesto snažnog pritiskanja, preporučuje se nežno „čišćenje“ bez agresije.
Električne četkice sa senzorom pritiska mogu biti od velike pomoći.
View this post on Instagram
Uklanjanje zubnog kamenca
Kamenac ubrzava povlačenje. Profesionalno čišćenje na svakih šest meseci pruža odlične rezultate. Kod osoba sa ubrzanim povlačenjem to može biti potrebno i češće.
Terapija upale
Ako postoji aktivna upala, ona se mora smiriti. To uključuje profesionalno čišćenje, antiseptične rastvore i, po potrebi, specijalizirane tretmane u parodontološkoj ordinaciji.
Korekcija zagriza
Kada stomatolog primeti nejednako opterećenje, moguće je izvesti manje korekcije koje rasterećuju zube pod najvećim pritiskom. Ponekad se preporučuje udlaga za nošenje tokom noći.
Prestanak pušenja

Iako to nije laka odluka, poznato je da se desni pušača sporije oporavljaju, a rizik od pogoršanja je znatno veći. Čak i smanjenje broja cigareta donosi primetne pomake.
Lokalni tretmani u ordinaciji
Postoje profesionalne paste, gelovi i tretmani koji jačaju tkivo i smanjuju osetljivost. Stomatolog bira opciju prema težini stanja.
Hirurške opcije
Kada je povlačenje izraženo, parodontolog može predložiti presađivanje tkiva, regenerativne zahvate ili posebne postupke kojima se koren ponovo prekriva.
Takvi zahvati pružaju stabilnost i estetsko poboljšanje.
Navike koje prave razliku u svakodnevnom životu
Pored profesionalne terapije, promena dnevnih navika ima ogroman uticaj na brzinu napredovanja.
- četkanje zuba dva puta dnevno, laganim pokretima
- korišćenje interdentalnih četkica za prostore između zuba
- vodice koje jačaju desni, ali ne sadrže alkohol
- kontrola noćnog škrgutanja pomoću udlage
- povećan unos vode radi hidratacije tkiva
- smanjenje cigareta, kafe i alkohola koji isušuju desni
Kada treba potražiti pomoć

Neretko se desi da ljudi čekaju mesecima, ponekad i godinama, nadajući se da će se stanje smiriti samo.
To se ne dešava.
- nagla osetljivost koja traje više od dve nedelje
- primetno povlačenje na jednom delu vilice
- klimavost zuba
- neprijatan zadah koji traje, iako je higijena dobra
- krvarenje pri svakom pranju
Kako izgleda razgovor sa stomatologom o povlačenju desni
Mnogi pacijenti imaju određenu dozu nelagode kada treba da otvore temu povlačenja desni. Sasvim je uobičajeno imati pitanja i dileme.
Pregled je brži nego što se misli i obično počinje kratkim razgovorom o navikama, eventualnom stresu, tehnici četkanja i simptomima.
Stomatolog zatim pažljivo pregleda desni, meri dubinu džepova i procenjuje da li postoji aktivna upala.
Tokom pregleda pacijent može da postavlja pitanja, da zamoli za savete ili da traži objašnjenje o narednim koracima. To je uvek obostrana saradnja.
Kako povlačenje utiče na samopouzdanje i kvalitet života
Povlačenje desni nije samo zdravstveni problem, jer utiče i na estetski doživljaj osmeha. Mnogi ljudi postaju nesigurni kada primete da im zubi izgledaju duže.
Kvalitet života trpi kada se hrana ispira detaljnije, kada postane neprijatno jesti sladoled ili kada se stalno razmišlja o osetljivosti.
Stabilizacija povlačenja često vraća osećaj kontrole. Osmeh postaje opušteniji, a navike poput jela i pića više ne izazivaju nelagodu.
Najčeći faktori rizika i njihov uticaj
| Faktor rizika | Uticaj na desni | Nivo rizika |
| Plak i kamenac | Hronična upala i gubitak tkiva | Visok |
| Prejako četkanje | Mehaničko oštećenje desni | Srednji do visok |
| Pušenje | Slab oporavak tkiva | Visok |
| Hormonske promene | Osetljivije tkivo | Srednji |
| Stres i bruksizam | Povećano opterećenje zuba | Srednji |
| Tanka genetika desni | Manja otpornost | Srednji |
Za kraj
Povlačenje desni nije retkost, ali takođe ne mora da bude razlog za paniku.
Važno je prepoznati rane znake, potražiti stručnu procenu i uvesti navike koje štite zube dugoročno.
Kada se reaguje na vreme, moguće je postići stabilno stanje i sačuvati prirodne zube godinama.
Jednostavni koraci, kao što su mekša četkica, redovne kontrole i smiren pristup dnevnoj higijeni, otvaraju put ka zdravijim desnima i trajnijem osmehu.
